A RARE CASE OF OCULAR FIBROSARCOMA IN Bubalus Bubalis (WATER BUFFALO): CYTO AND HISTOPATHOLOGY
DOI:
https://doi.org/10.56825/bufbu.2025.4435746Keywords:
Bubalis bubalis, buffaloes, bulbar conjunctiva, eye tumour , fibrosarcomaAbstract
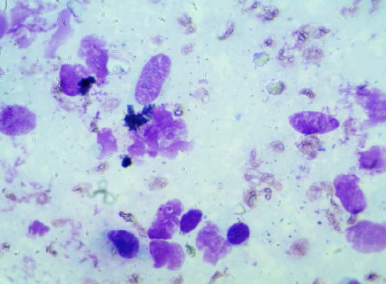
Though primary tumors of the conjunctiva are not uncommon, ocular fibrous tumors are quite rare in most species, including buffaloes. A buffalo with an ocular growth at the bulbar conjunctiva was presented to the Veterinary Clinical Complex, SVPUAT, Meerut. Fine needle aspiration cytology (FNAC) of the ocular growth was performed, followed by surgical removal. Furthermore, the formalin-fixed sample was processed for histopathology and special staining (Masson’s trichrome) for confirmatory diagnosis. Based on cytopathological as well as histological features, the growth was diagnosed as fibrosarcoma. To the best of our knowledge, no report of fibrosarcoma is available at this location in buffaloes. The current case is presented with the aim to describe the clinical and histological features of an unusual case of ocular (conjunctival) fibrosarcoma.
Downloads
Metrics
References
Deyhimi, P., M.R. Arefian and P. Mahzouni. 2019. Comparative analysis of the histopathologic features, β -catenin, and Ki67 expression between fibromatosis and fibrosarcoma. J. Dent. (Shiraz)., 20(4): 255-263. DOI: 10.30476/dentjods.2019.44900
Gelatt, P.K.N. 2008. Veterinary ophthalmology: Our past, present and future. Bull. Acad. Vet. Fr., 161: 299-306.
Horita, A.C., M. Botelho, J. Coblentz, S. Bergeron, M.N. Burnier, J.P. Passos and E.B. Abreu. 2019. Melanocytic ocular tumors: A 12-year clinicopathological review. Invest. Ophthalmol. Vis. Sci., 60: 3555
Islam, S.T., J. Khurma, J.M. Wani, M.Y. Ganaie, A.K. Singh, H. Rashid and I.B. Fayaz. 2017. Ocular squamous cell carcinoma in a female buffalo: A case report. J. Entomol. Zool., 5(6): 795-796. Available on: https://www.entomoljournal.com/archives/2017/vol5issue6/PartK/5-5-360-508.pdf
Kapoor, J., H.S. Banga, N.D. Singh and S. Deshmukh. 2020. Studies on pathology of ocular tumors in bovine. Indian J. Vet. Pathol., 44(2): 65. DOI: 10.5958/0973-970X.2020.00015.2
Luna, L.G. 1968. Manual of Histological Staining Methods of the Armed Forces Institute of Pathology, 3rd ed. McGraw-Hill Book Company, New York, USA. 33p.
Martins, T.B. and C.S. Barros. 2014. Fifty years in the blink of an eye: A retrospective study of ocular and periocular lesions in domestic animals. Pesquisa Veterinária Brasileira, 34(12): 1215-1222. DOI: 10.1590/S0100-736X2014001200012
Nair, A.G., H. Kenia, I. Gopinathan, S.V. Mehta, and V.C. Mehta. 2018. Corneal fibroma: An uncommon stromal tumor. Indian J. Ophthalmol., 66(5): 699. DOI: 10.4103/ijo.ijo_936_17
Nithya, P., G.A. Balasubramaniam, A. Arulmozhi, T.R. Gopalakrishnamurthy and S. Kathirvel. 2022. Factors influencing the occurrence of ocular neoplasms in cattle and buffaloes. Pharm. Innov., 11(12): 3043-3046. Available on: https://www.thepharmajournal.com/archives/2022/vol11issue12/PartAL/11-12-418-924.pdf
Prasad, B.C. and V. Samatha. 2013. Occurrence of occular tumours in buffaloes. Indo-American Journal of Agricultural and Veterinary Sciences, 1(2): 51-54.
Priyanka, N., B.N. Nagaraja, N. Nagaraju, D.R. Manjunath and B.R.B. 2021. Study on occurrence of ocular tumors in cattle. Pharm. Innov., 10(7): 329-333. Available on: https://www.thepharmajournal.com/archives/2021/vol10issue7S/PartF/S-10-6-166-152.pdf
Sharma, S., G. Kumar, R.N. Chaudhary, N. Arora, D.K. Tiwari, G. Chandratre and D. Kaushik. 2020. Surgical management of eye tumours in buffaloes: Report of 16 cases. Livestock Research International, 8(1): 14-16.
Shokrpoor, S., M. Gorjidooz, P. Azizi and S.M. Ghamsari. 2023. Histological observations on aural fibrosarcoma in a Holstein cow. Vet. Med. Sci., 9(3): 1313-1317. DOI: 10.1002/vms3.1126
Srivastav, A., A. Negi, N.P. Shyama and R. Singh. 2022. Ocular squamous cell carcinoma in a buffalo. Journal Indian Veterinary Association, 20(3): 112-116.

Downloads
Published
How to Cite
Issue
Section
License
Copyright (c) 2025 Buffalo Bulletin

This work is licensed under a Creative Commons Attribution-NonCommercial-NoDerivatives 4.0 International License.